Lompat ke konten Lompat ke sidebar Lompat ke footer

Weber B Fraktur Schwellung

Sprunggelenksfraktur Symptome Behandlung Heilungsdauer Spatfolgen Gelenk Klinik De

Sprunggelenksfraktur Symptome Behandlung Heilungsdauer Spatfolgen Gelenk Klinik De

Weber b fraktur schwellung. Die Ärztin hat mir auch eine Bandage verordnet aber ich weiss nicht ob das meine Schwellung nicht nur auf. 9Woche nach Weber B Hallo Hellu habe mir heute vor genau 11 Wochen Innen- und Außenknöchel gebrochen. Die Therapie der Sprunggelenksfraktur vom Typ Weber B erfolgt meist operativ.

Eine Sprunggelenksfraktur wird durch die Klassifikation nach Weber aufgrund der Frakturhöhe am Wadenbein Außenknöchel in drei verschiedene Formen unterteilt. Bist du operiert worden. Häufig ist bei diesem Knöchelbruch am Wadenbein die Syndesmose verletzt und die Stabilität der Sprunggelenksgabel nicht mehr gewährleistet.

Das Band ist häufig mit betroffen das Gelenk kann jedoch noch stabil sein Weber C Fraktur. Wenn es sich um eine offene Fraktur handelt durchstößt ein oder mehrere Knochenfragmente die Haut und ist sichtbar. Für mich ein totaler Schock.

Bekomme auch KG und Lymphdrainage. Abrollen und Treppen abwärts gehen ist noch sehr schnerzhaft und auch der Knöchel ist immer wieder fett geschwollen. Man spricht dann von einer entzündlich aktivierten Arthrose des Sprunggelenks.

Ich habe mir im Mai eine Weber B Stressfraktur zugezogen die zuerst übersehen und erst Mitte Juni mit einem vierwöchigen Vakoped versorgt wurde. Außenknöchelfraktur unterhalb der Syndesmose Syndesmose immer intakt Weber B. Mein Erfahrungsbericht zur Behandlung Operation und Heilungsverlauf nach einem Sprunggelenkbruch.

Auch diese können schuld an einer Schwellung sein. Bei einem Wadenbeinbruch bilden sich oft ein oder mehrere Blutergüsse. Mir fällt das Laufen ohne Gehhilfen sehr schwer.

Als Leistungssportlerin bricht eine Welt zusammen. Dabei handelt es sich meist um eine Weber-A-Fraktur oder Weber-B-Fraktur.

Sprunggelenksbruch Ursachen Folgen Behandlung

Sprunggelenksbruch Ursachen Folgen Behandlung

Sprunggelenksfraktur Symptome Behandlung Heilungsdauer Spatfolgen Gelenk Klinik De

Sprunggelenksfraktur Symptome Behandlung Heilungsdauer Spatfolgen Gelenk Klinik De

Sprunggelenksfraktur Sprunggelenkbruch Behandlung Bei Knoche

Sprunggelenksfraktur Sprunggelenkbruch Behandlung Bei Knoche

Belastung Nach Einer Sprunggelenksfraktur

Belastung Nach Einer Sprunggelenksfraktur

Sprunggelenkbruch Sprunggelenksfraktur Apotheken Umschau

Sprunggelenkbruch Sprunggelenksfraktur Apotheken Umschau

Knochelbruch Sprunggelenkbruch Malleolarfraktur

Knochelbruch Sprunggelenkbruch Malleolarfraktur

Sprunggelenksfraktur Ursachen Symptome Behandlung Medlexi De

Sprunggelenksfraktur Ursachen Symptome Behandlung Medlexi De

Sprunggelenkbruch Sprunggelenksfraktur Apotheken Umschau

Sprunggelenkbruch Sprunggelenksfraktur Apotheken Umschau

Fraktur Nach Weber A B C

Fraktur Nach Weber A B C

Sprunggelenksbruch Knochelbruch Malleolarfraktur Fuss Sprunggelenk Orthozentrum Cham Zug Schweiz Orthopadische Chirurgie Dr Med Rolf F Oetiker

Sprunggelenksbruch Knochelbruch Malleolarfraktur Fuss Sprunggelenk Orthozentrum Cham Zug Schweiz Orthopadische Chirurgie Dr Med Rolf F Oetiker

Chronik Einer Sprunggelenkfraktur Sky Junkies

Chronik Einer Sprunggelenkfraktur Sky Junkies

Schwellung Nach Op Am Sprunggelenk Gesundheit Und Medizin Operation Orthopadie

Schwellung Nach Op Am Sprunggelenk Gesundheit Und Medizin Operation Orthopadie

Sprunggelenksfraktur Med Kom

Sprunggelenksfraktur Med Kom

Bruch Des Oberen Sprunggelenks Obere Sprunggelenksfraktur Gesundheitsportal

Bruch Des Oberen Sprunggelenks Obere Sprunggelenksfraktur Gesundheitsportal

Sprunggelenksbruch Knochelbruch Malleolarfraktur Fuss Sprunggelenk Orthozentrum Cham Zug Schweiz Orthopadische Chirurgie Dr Med Rolf F Oetiker

Sprunggelenksbruch Knochelbruch Malleolarfraktur Fuss Sprunggelenk Orthozentrum Cham Zug Schweiz Orthopadische Chirurgie Dr Med Rolf F Oetiker

Sprunggelenksfraktur Symptome Behandlung Prognose Netdoktor

Sprunggelenksfraktur Symptome Behandlung Prognose Netdoktor

Sprunggelenkbruch Sprunggelenksfraktur Apotheken Umschau

Sprunggelenkbruch Sprunggelenksfraktur Apotheken Umschau

Weber B Fraktur Erfahrungsbericht Aus Patientensicht

Weber B Fraktur Erfahrungsbericht Aus Patientensicht

C6btm208tm8 Ym

C6btm208tm8 Ym

Die Syndesmose Und Ihre Verletzungen Atos News Fachmagazin

Die Syndesmose Und Ihre Verletzungen Atos News Fachmagazin

Sprunggelenksfraktur Fuss Und Sprunggelenkzentrum Berlin

Sprunggelenksfraktur Fuss Und Sprunggelenkzentrum Berlin

Sprunggelenksbruch Knochelbruch Malleolarfraktur Fuss Sprunggelenk Orthozentrum Cham Zug Schweiz Orthopadische Chirurgie Dr Med Rolf F Oetiker

Sprunggelenksbruch Knochelbruch Malleolarfraktur Fuss Sprunggelenk Orthozentrum Cham Zug Schweiz Orthopadische Chirurgie Dr Med Rolf F Oetiker

Sprunggelenksverletzungen Bahnhof Apotheke Besigheim

Sprunggelenksverletzungen Bahnhof Apotheke Besigheim

Search Q Sprunggelenkfraktur Tbm Isch

Search Q Sprunggelenkfraktur Tbm Isch

Aussenknochelbruch Ohne Operation Behandeln

Aussenknochelbruch Ohne Operation Behandeln

Chronik Einer Sprunggelenkfraktur Sky Junkies

Chronik Einer Sprunggelenkfraktur Sky Junkies

Sprunggelenksfraktur Symptome Therapie Reha

Sprunggelenksfraktur Symptome Therapie Reha

Sprunggelenkfraktur Symptome Behandlung Prognose Apomio Gesundheitsblog

Sprunggelenkfraktur Symptome Behandlung Prognose Apomio Gesundheitsblog

Fuss Umgeknickt Was Ist Zu Tun

Fuss Umgeknickt Was Ist Zu Tun

Chronik Einer Sprunggelenkfraktur Sky Junkies

Chronik Einer Sprunggelenkfraktur Sky Junkies

Sprunggelenkbruch Sprunggelenksfraktur Apotheken Umschau

Sprunggelenkbruch Sprunggelenksfraktur Apotheken Umschau

Das Sprunggelenk Anatomie Und Chirurgie Ota Franzi

Das Sprunggelenk Anatomie Und Chirurgie Ota Franzi

Sprunggelenksbruch Weber B Behandlung Dauer Operation Heilungschancen Der Sprunggelenksfraktur

Sprunggelenksbruch Weber B Behandlung Dauer Operation Heilungschancen Der Sprunggelenksfraktur

Sprunggelenksfraktur Symptome Behandlung Heilungsdauer Spatfolgen Gelenk Klinik De

Sprunggelenksfraktur Symptome Behandlung Heilungsdauer Spatfolgen Gelenk Klinik De

Bruch Des Oberen Sprunggelenks Obere Sprunggelenksfraktur Gesundheitsportal

Bruch Des Oberen Sprunggelenks Obere Sprunggelenksfraktur Gesundheitsportal

Sprunggelenkbruch Sprunggelenksfraktur Apotheken Umschau

Sprunggelenkbruch Sprunggelenksfraktur Apotheken Umschau

Wadenbeinbruch Fibulafraktur Wie Kommt Es Dazu

Wadenbeinbruch Fibulafraktur Wie Kommt Es Dazu

Sprunggelenksfraktur Sprunggelenkbruch Deutsche Gesellschaft Fur Unfallchirurgie

Sprunggelenksfraktur Sprunggelenkbruch Deutsche Gesellschaft Fur Unfallchirurgie

Sprunggelenk Verletzungen Ordination Url Dr Robert Url

Sprunggelenk Verletzungen Ordination Url Dr Robert Url

Fuss Nach Aussen Umgeknickt Lumedis Fussspezialisten

Fuss Nach Aussen Umgeknickt Lumedis Fussspezialisten

Https M Thieme De Viostatics Dokumente Vio 2 Final De Dokumente Klinik Op Technik Sprunggelenk Pdf

Https M Thieme De Viostatics Dokumente Vio 2 Final De Dokumente Klinik Op Technik Sprunggelenk Pdf

Die Syndesmose Und Ihre Verletzungen Atos News Fachmagazin

Die Syndesmose Und Ihre Verletzungen Atos News Fachmagazin

Sprunggelenksverletzung Sprunggelenk Op Erforderlich

Sprunggelenksverletzung Sprunggelenk Op Erforderlich

Osteosynthese Von Weber B Sprunggelenkfrakturen Mit Der Drittelrohrplatte Und Syndesmosenrekonstruktion Springerlink

Osteosynthese Von Weber B Sprunggelenkfrakturen Mit Der Drittelrohrplatte Und Syndesmosenrekonstruktion Springerlink

Chronik Einer Sprunggelenkfraktur Sky Junkies

Chronik Einer Sprunggelenkfraktur Sky Junkies

Fuss Umgeknickt Was Ist Zu Tun

Fuss Umgeknickt Was Ist Zu Tun

1

1

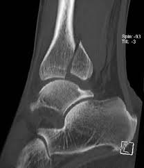
Da dieser Bruch leicht verschoben war musste operiert werden.

Die Schleimhaut die das Sprunggelenk auskleidet entzündet sich und verursacht auch in Ruhe Sprunggelenkschmerzen. Häufig ist bei diesem Knöchelbruch am Wadenbein die Syndesmose verletzt und die Stabilität der Sprunggelenksgabel nicht mehr gewährleistet. Da dieser Bruch leicht verschoben war musste operiert werden. Wenn es sich um eine offene Fraktur handelt durchstößt ein oder mehrere Knochenfragmente die Haut und ist sichtbar. Schwellung nach OP Weber-B-Fraktur oberes Sprunggelenk wie lange. Eine Studie aus Finnland hint. Mein Bein ist noch ziemlich geschwollen und ich fange erst in ein paar Tagen mit Lymphdrainage und Physiotherapie an. Es können außerdem allgemeine Symptome wie Übelkeitund Erbrechen bei einem solchen Bruch auftreten. Die Ärztin hat mir auch eine Bandage verordnet aber ich weiss nicht ob das meine Schwellung nicht nur auf.


Bei einem Wadenbeinbruch bilden sich oft ein oder mehrere Blutergüsse. Eine Studie aus Finnland hint. Bin jetzt zuhause und weiss nicht wie lange es braucht bis der Fuss abgeschwollen ist. Dabei handelt es sich meist um eine Weber-A-Fraktur oder Weber-B-Fraktur. Kann die Schwellung dann nicht über der Bandage entstehen. Als Leistungssportlerin bricht eine Welt zusammen. Hallo hatte mir eine Fraktur am Aussenknöchel Weber-B-Fraktur oberes Sprunggelenkzugezogen.

Posting Komentar untuk "Weber B Fraktur Schwellung"