Lompat ke konten Lompat ke sidebar Lompat ke footer

Dental Fluorosis Treatment Cost

How Much Is A Dental Fluorosis Treatment Cost Tlc Women S Center

How Much Is A Dental Fluorosis Treatment Cost Tlc Women S Center

Dental fluorosis treatment cost. If playback doesnt begin shortly try restarting your device. Fluorosis can affect the appearance of the teeth in a number of ways depending on its severity. Remove brown marks and stains from your teeth with teeth whitening and other cosmetic treatments at Ascent Dental Care Solihull.

Thankfully it is no longer necessary to compromise healthy tooth structure or risk damaging pulp tissue in order to achieve optimal esthetics. 1395 subject to change will be available only from. Adults however may pay 10 to 30 out of pocket or more.

National Technical Information Service 5285 Port Royal Road Springfield. Porcelain veneers look just like natural teeth when done well and should last 10-15 years before needing to be replaced. The complete report entitled Analysis of Costs for the Treatment of Dental Fluorosis Order No.

The approximate cost of such a smile designing process in India at Smilekraft Dentistry would be Rs. One of the most esthetic ways is by placing porcelain laminate veneers over the affected teeth as shown in the picture to the right. Dentalfluorosisdental fluorosis treatment with cost clinic address1mumbai dental carebhaji market in front of congress officeshanti nagar wagle estate.

Teeth whitening can cost you around 100 to 400 for DIY whitening and at least 650 or more for. Dental fluorosis treatment are utilized for shallow stain while the conservative restoration is utilize for more unaesthetic situations such as severe fluorosis. Videos you watch may be added to the TVs watch history and influence.

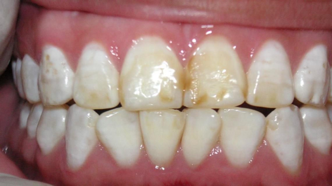
Dental fluorosis is a common cosmetic condition in which your teeth are discolored with tiny chalky white or in severe cases brown stains. It occurs when too much fluoride is consumed while the teeth are developing in childhood and it permanently affects the teeth in question. Four Ways Dental Fluorosis Is Treated.

PB 87-170 817 AS. Call to book your free consultation now.

Dental Fluorosis Treatment Micro Abrasion Tooth Bleaching Bangalore

Dental Fluorosis Treatment Micro Abrasion Tooth Bleaching Bangalore

Dental Fluorosis Treatment Micro Abrasion Tooth Bleaching Bangalore

Dental Fluorosis Treatment Micro Abrasion Tooth Bleaching Bangalore

Hardy Limeback On Twitter When You Include Cost Estimates For Fixing Dental Fluorosis In Any Cost Benefit Analysis For Fluoridation You Quickly Find Out That It Costs Just As Much To Treat Fluoride Damaged

Hardy Limeback On Twitter When You Include Cost Estimates For Fixing Dental Fluorosis In Any Cost Benefit Analysis For Fluoridation You Quickly Find Out That It Costs Just As Much To Treat Fluoride Damaged

Dental Fluorosis South Point Dentistry Delhi

Dental Fluorosis South Point Dentistry Delhi

Dental Fluorosis Treatment With Cost Youtube

Dental Fluorosis Treatment With Cost Youtube

White Marks On Teeth How To Remove Them Price Review Pictures

White Marks On Teeth How To Remove Them Price Review Pictures

Dental Fluorosis Treatment How Dental Fluorosis Is Treated Oral Answers

Dental Fluorosis Treatment How Dental Fluorosis Is Treated Oral Answers

Using Microabrasion And In Office Bleaching To Treat Fluorosis In Permanent Anterior Teeth Dental News

Using Microabrasion And In Office Bleaching To Treat Fluorosis In Permanent Anterior Teeth Dental News

White Marks On Teeth How To Remove Them Price Review Pictures

White Marks On Teeth How To Remove Them Price Review Pictures

Dental Fluorosis Treatment Veneers For Fluorosis

Dental Fluorosis Treatment Veneers For Fluorosis

White Spots Camden And London Cosmetic Dentist Nw1 Dental Care

White Spots Camden And London Cosmetic Dentist Nw1 Dental Care

Using Combination Microabrasion Mi Paste And Whitening To Treat Fluorosis Stains Dental Economics

Using Combination Microabrasion Mi Paste And Whitening To Treat Fluorosis Stains Dental Economics

Using Microabrasion And In Office Bleaching To Treat Fluorosis In Permanent Anterior Teeth Dental News

Using Microabrasion And In Office Bleaching To Treat Fluorosis In Permanent Anterior Teeth Dental News

Scielo Brasil Dental Fluorosis Treatment Can Improve The Individuals Ohrqol Results From A Randomized Clinical Trial Dental Fluorosis Treatment Can Improve The Individuals Ohrqol Results From A Randomized Clinical Trial

Scielo Brasil Dental Fluorosis Treatment Can Improve The Individuals Ohrqol Results From A Randomized Clinical Trial Dental Fluorosis Treatment Can Improve The Individuals Ohrqol Results From A Randomized Clinical Trial

Dental Fluorosis Treatment Micro Abrasion Tooth Bleaching Bangalore

Dental Fluorosis Treatment Micro Abrasion Tooth Bleaching Bangalore

New Study Offers Mechanistic View Of Dental Fluorosis Occurrence Dental Tribune International

New Study Offers Mechanistic View Of Dental Fluorosis Occurrence Dental Tribune International

Dental Fluorosis Treatment Veneers For Fluorosis

Dental Fluorosis Treatment Veneers For Fluorosis

Dental Fluorosis Treatment How Dental Fluorosis Is Treated Oral Answers

Dental Fluorosis Treatment How Dental Fluorosis Is Treated Oral Answers

A Comparison Of Various Minimally Invasive Techniques For The Removal Of Dental Fluorosis Stains In Children Gupta A Dhingra R Chaudhuri P Gupta A J Indian Soc Pedod Prev Dent

A Comparison Of Various Minimally Invasive Techniques For The Removal Of Dental Fluorosis Stains In Children Gupta A Dhingra R Chaudhuri P Gupta A J Indian Soc Pedod Prev Dent

Microabrasion And Composite Resin For Re Establishing Smile Esthetics A Case Report

Microabrasion And Composite Resin For Re Establishing Smile Esthetics A Case Report

Scielo Brasil Dental Fluorosis Treatment Can Improve The Individuals Ohrqol Results From A Randomized Clinical Trial Dental Fluorosis Treatment Can Improve The Individuals Ohrqol Results From A Randomized Clinical Trial

Scielo Brasil Dental Fluorosis Treatment Can Improve The Individuals Ohrqol Results From A Randomized Clinical Trial Dental Fluorosis Treatment Can Improve The Individuals Ohrqol Results From A Randomized Clinical Trial

Fluorosis Treatment Using Icon Infiltration Step By Step Youtube

Fluorosis Treatment Using Icon Infiltration Step By Step Youtube

Icon Treatment White Spot Correction Advanced Services

Icon Treatment White Spot Correction Advanced Services

Https Encrypted Tbn0 Gstatic Com Images Q Tbn And9gctmqppighcnsovl51k4pvpt7 Qciddtmor4vg9pu Xvo8ch4z30 Usqp Cau

Https Encrypted Tbn0 Gstatic Com Images Q Tbn And9gctmqppighcnsovl51k4pvpt7 Qciddtmor4vg9pu Xvo8ch4z30 Usqp Cau

A Comparison Of Various Minimally Invasive Techniques For The Removal Of Dental Fluorosis Stains In Children Gupta A Dhingra R Chaudhuri P Gupta A J Indian Soc Pedod Prev Dent

A Comparison Of Various Minimally Invasive Techniques For The Removal Of Dental Fluorosis Stains In Children Gupta A Dhingra R Chaudhuri P Gupta A J Indian Soc Pedod Prev Dent

Why Are My Teeth Yellow Dental Fluorosis Denta Digest

Why Are My Teeth Yellow Dental Fluorosis Denta Digest

Dental Fluorosis Removal In Solihull Ascent Dental Care Solihull Dorridge

Dental Fluorosis Removal In Solihull Ascent Dental Care Solihull Dorridge

Dental Fluorosis Wikipedia

Dental Fluorosis Wikipedia

Impact Of Aesthetic Restorative Treatment On Anterior Teeth With Fluorosis Among Residents Of An Endemic Area In Brazil Intervention Study Bmc Oral Health Full Text

Impact Of Aesthetic Restorative Treatment On Anterior Teeth With Fluorosis Among Residents Of An Endemic Area In Brazil Intervention Study Bmc Oral Health Full Text

Zirconium Dental Crowns In Turkey Dental Crowns Dental Dental Crown Cost

Zirconium Dental Crowns In Turkey Dental Crowns Dental Dental Crown Cost

Microabrasion And Composite Resin For Re Establishing Smile Esthetics A Case Report

Microabrasion And Composite Resin For Re Establishing Smile Esthetics A Case Report

Dental Fluorosis In Bangalore

Dental Fluorosis In Bangalore

Fluoride Action Network Personal Stories

Fluoride Action Network Personal Stories

Https F1000research Com Articles 8 989 Pdf

Https F1000research Com Articles 8 989 Pdf

Using Microabrasion And In Office Bleaching To Treat Fluorosis In Permanent Anterior Teeth Dental News

Using Microabrasion And In Office Bleaching To Treat Fluorosis In Permanent Anterior Teeth Dental News

Photograph Of A Patient With Moderate Fluorosis Before Treatment Download Scientific Diagram

Photograph Of A Patient With Moderate Fluorosis Before Treatment Download Scientific Diagram

Everything That You Should Know About Fluoride Treatment Trucare Dentistry Roswell

Everything That You Should Know About Fluoride Treatment Trucare Dentistry Roswell

Dental Fluorosis Treatment White Spots On Teeth Porcelain Veneers Cosmetic Dentist

Dental Fluorosis Treatment White Spots On Teeth Porcelain Veneers Cosmetic Dentist

Dental Fluorosis My Teeth Are Affected By Severe Dental Practo Consult

Dental Fluorosis My Teeth Are Affected By Severe Dental Practo Consult

Fluorosis Stains On Teeth Cosmetic Dentistry

Fluorosis Stains On Teeth Cosmetic Dentistry

Dental Fluorosis Treatment Veneers For Fluorosis

Dental Fluorosis Treatment Veneers For Fluorosis

Icon Spot Whitening Bristol Dental Practice

Icon Spot Whitening Bristol Dental Practice

Teeth Whitening Dentistry Boise Id Smiles On State Street

Teeth Whitening Dentistry Boise Id Smiles On State Street

Https Www Periodicos Usp Br Jhgd Article Download 125609 141057

Https Www Periodicos Usp Br Jhgd Article Download 125609 141057

Icon White Spot Removal On Teeth Dr Desiree Yazdan Newport Beach

Icon White Spot Removal On Teeth Dr Desiree Yazdan Newport Beach

White Enamel Lesions In Children Considering Caries Chronological And Congenital Causes And Their Consequent Care British Dental Journal

White Enamel Lesions In Children Considering Caries Chronological And Congenital Causes And Their Consequent Care British Dental Journal

Dental Fluorosis In Australia Fluoride Free Australia

Dental Fluorosis In Australia Fluoride Free Australia

Teeth Whitening Risks Results Options And Cost Information

Teeth Whitening Risks Results Options And Cost Information

Https Encrypted Tbn0 Gstatic Com Images Q Tbn And9gcqvy0ugyfyudrdnnaxf99pdaanvoz7nemws0tuofkv2av6piokj Usqp Cau

Https Encrypted Tbn0 Gstatic Com Images Q Tbn And9gcqvy0ugyfyudrdnnaxf99pdaanvoz7nemws0tuofkv2av6piokj Usqp Cau

The complete report entitled Analysis of Costs for the Treatment of Dental Fluorosis Order No.

Dentalfluorosisdental fluorosis treatment with cost clinic address1mumbai dental carebhaji market in front of congress officeshanti nagar wagle estate. It occurs when too much fluoride is consumed while the teeth are developing in childhood and it permanently affects the teeth in question. Videos you watch may be added to the TVs watch history and influence. 1395 subject to change will be available only from. Dental fluorosis treatment are utilized for shallow stain while the conservative restoration is utilize for more unaesthetic situations such as severe fluorosis. 1 Porcelain Laminate Veneers. Call to book your free consultation now. Dentalfluorosisdental fluorosis treatment with cost clinic address1mumbai dental carebhaji market in front of congress officeshanti nagar wagle estate. Dental Fluorosis Treatment Micro Abrasion Tooth Bleaching Bangalore.


The treatment cost of dental fluorosis would depend on what procedure is to be done. Dental fluorosis can cause permanent damage to your teethThe treatment option and cost depends on the severity of each case. Adults however may pay 10 to 30 out of pocket or more. Mild forms of dental fluorosis can be treated. It occurs when too much fluoride is consumed while the teeth are developing in childhood and it permanently affects the teeth in question. Fluorosis can affect the appearance of the teeth in a number of ways depending on its severity. Composite resin has been used for treatment of dental fluorosis.

Posting Komentar untuk "Dental Fluorosis Treatment Cost"