Lompat ke konten Lompat ke sidebar Lompat ke footer

Lady Windermere Syndrome Treatment

Pdf Lady Windermere Syndrome Mycobacterium Of Sophistication

Pdf Lady Windermere Syndrome Mycobacterium Of Sophistication

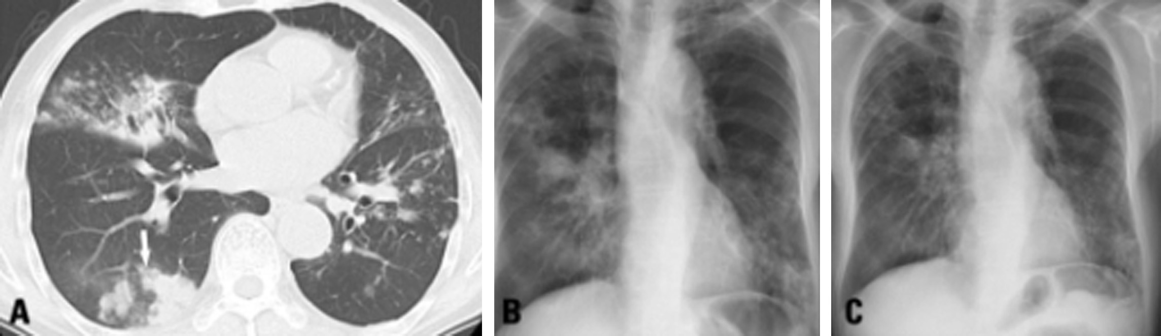
Lady windermere syndrome treatment. Complex or MAC which are present in soil and water. Treatment with thoracoscopic lobectomysegmentectomy for right middle lobe and lingular bronchiectasis associated with non-tuberculous mycobacterial disease. This case illustrates the classic chest radiograph and computed tomography findings of The Lady Windermere Syndrome.

These organisms enter hosts via the gastrointestinal tract or the lungs. The combination of bronchiectasis involving exclusively or primarily the right middle lobe and lingula is. Lung Function Decline According to Clinical Course in Nontuberculous Mycobacterial Lung Disease.

A fastidious nature and a reticence to expectorate are believed to. The important influence of gender in non-tuberculous mycobacterial infections also referred to as MAC is reflected in the name that has been given to this disorder. The Lady Windermere syndrome.

610 954 4644 Fax. Lady Windermere syndrome2 as the name is based on the aphorism ladies dont spit. To the best of our knowledge we report the first case of bronchiectasis and middle lobe syndrome due to MAC in which a history of habitual voluntary cough suppression was elicited.

Intracellulare called the M. A lady as described in literature is a woman of good social standing and has a polite and refined disposition. Was treated with azithromycin rifampin and ethambutol Corresponding author.

Although controversy exists regarding the treatment of pulmonary mycobacterium aviumintracellulare infection the typical treatment regimen consists of clarithromycin rifampin and ethambutol for 12 years 3. Park HY Jeong BH Chon HR et al. Lady Windermere syndrome refers to a pattern of pulmonary Mycobacterium avium complex MAC infection seen typically in elderly white women who chronically suppress the normal cough reflex.

NTM pulmonary disease occurring in patients without preexisting lung disease was only recently described by Prince in 1988. With a creative approach Diderik Finne cures a case of Lady Windermere Syndrome.

Lady Windermere Syndrome Does It Occur Only In Women Archivos De Bronconeumologia

Lady Windermere Syndrome Does It Occur Only In Women Archivos De Bronconeumologia

Pdf Lady Windermere Syndrome A Very Rare Entity In Indian Medical Scenario

Pdf Lady Windermere Syndrome A Very Rare Entity In Indian Medical Scenario

Case Series With Lady Windermere Syndrome Download Table

Case Series With Lady Windermere Syndrome Download Table

Pdf Lady Windermere Syndrome

Pdf Lady Windermere Syndrome

Pdf Lady Windermere Syndrome

Pdf Lady Windermere Syndrome

Non Tuberculous Mycobacterial Disease Evaluation And Management In 2013 Richard Oehler Md Youtube

Non Tuberculous Mycobacterial Disease Evaluation And Management In 2013 Richard Oehler Md Youtube

Lady Windermere Syndrome In Castile And Leon Enfermedades Infecciosas Y Microbiologia Clinica English Edition

Lady Windermere Syndrome In Castile And Leon Enfermedades Infecciosas Y Microbiologia Clinica English Edition

Lady Windermere Syndrome Wikidoc

Lady Windermere Syndrome Wikidoc

View Of Lady Windermere Syndrome The Southwest Respiratory And Critical Care Chronicles

View Of Lady Windermere Syndrome The Southwest Respiratory And Critical Care Chronicles

Pdf Lady Windermere Syndrome Mycobacterium Of Sophistication Semantic Scholar

Pdf Lady Windermere Syndrome Mycobacterium Of Sophistication Semantic Scholar

Mycobacterium Avium Complex Mac Flashcards Quizlet

Mycobacterium Avium Complex Mac Flashcards Quizlet

Http Smj Sma Org Sg 4902 4902cr6 Pdf

Http Smj Sma Org Sg 4902 4902cr6 Pdf

Lady Windermere Syndrome Mac Infection Radiology Board Review Case Youtube

Lady Windermere Syndrome Mac Infection Radiology Board Review Case Youtube

Pdf Lady Windermere Syndrome Mycobacterium Of Sophistication

Pdf Lady Windermere Syndrome Mycobacterium Of Sophistication

Scielo Brasil Infection With The Mycobacterium Avium Complex In Patients Without Predisposing Conditons A Case Report And Literature Review Infection With The Mycobacterium Avium Complex In Patients Without Predisposing Conditons

Scielo Brasil Infection With The Mycobacterium Avium Complex In Patients Without Predisposing Conditons A Case Report And Literature Review Infection With The Mycobacterium Avium Complex In Patients Without Predisposing Conditons

Ladies Don T Cough Lady Windermere Syndrome Eurorad

Ladies Don T Cough Lady Windermere Syndrome Eurorad

Ntm

Ntm

Ladies Don T Cough Lady Windermere Syndrome Eurorad

Ladies Don T Cough Lady Windermere Syndrome Eurorad

Pdf Lady Windermere Syndrome An Inappropriate Eponym For An Increasingly Important Condition Semantic Scholar

Pdf Lady Windermere Syndrome An Inappropriate Eponym For An Increasingly Important Condition Semantic Scholar

2

2

Exploring Immunomodulation By Endocrine Changes In Lady Windermere Syndrome Holt 2019 Clinical Amp Experimental Immunology Wiley Online Library

Exploring Immunomodulation By Endocrine Changes In Lady Windermere Syndrome Holt 2019 Clinical Amp Experimental Immunology Wiley Online Library

Https Www Nature Com Articles Pcrj200919 Pdf Origin Ppub

Https Www Nature Com Articles Pcrj200919 Pdf Origin Ppub

The Lady Windermere Syndrome Springerlink

The Lady Windermere Syndrome Springerlink

Https Encrypted Tbn0 Gstatic Com Images Q Tbn And9gct07lp4ellkaxyveswfqa4zimiet8spqxv2huy8h2w Usqp Cau

Https Encrypted Tbn0 Gstatic Com Images Q Tbn And9gct07lp4ellkaxyveswfqa4zimiet8spqxv2huy8h2w Usqp Cau

Https Www Ajronline Org Doi Pdf 10 2214 Ajr 07 2074

Https Www Ajronline Org Doi Pdf 10 2214 Ajr 07 2074

Mendelian Susceptibility To Mycobacterial Disease

Mendelian Susceptibility To Mycobacterial Disease

Pdf Lady Windermere Syndrome An Inappropriate Eponym For An Increasingly Important Condition Semantic Scholar

Pdf Lady Windermere Syndrome An Inappropriate Eponym For An Increasingly Important Condition Semantic Scholar

Jcdr Bronchiectasis Mycobacterium Avium Complex Non Tubercular Mycobacteria Pulmonary Tuberculosis

Jcdr Bronchiectasis Mycobacterium Avium Complex Non Tubercular Mycobacteria Pulmonary Tuberculosis

Mycobacterial Infections And Lady Windermere Syndrome

Mycobacterial Infections And Lady Windermere Syndrome

Lady Windermere Syndrome Radiology Case Radiopaedia Org

Lady Windermere Syndrome Radiology Case Radiopaedia Org

Frontiers The Rise Of Non Tuberculosis Mycobacterial Lung Disease Immunology

Frontiers The Rise Of Non Tuberculosis Mycobacterial Lung Disease Immunology

Https Journal Chestnet Org Article S0012 3692 16 38408 2 Pdf

Https Journal Chestnet Org Article S0012 3692 16 38408 2 Pdf

Https Journal Chestnet Org Article S0012 3692 15 48807 5 Pdf

Https Journal Chestnet Org Article S0012 3692 15 48807 5 Pdf

Lady Windermere Syndrome

Lady Windermere Syndrome

Atypiske Mykobakterier Og Lady Windermere Tidsskrift For Den Norske Legeforening

Atypiske Mykobakterier Og Lady Windermere Tidsskrift For Den Norske Legeforening

Pdf Lady Windermere Syndrome Semantic Scholar

Pdf Lady Windermere Syndrome Semantic Scholar

Journal Club 10 07 2017 P Sendi Unispital Basel P Sendi Lady Windermere Syndrome Victorian Era Pdf Document

Journal Club 10 07 2017 P Sendi Unispital Basel P Sendi Lady Windermere Syndrome Victorian Era Pdf Document

Pulmonary Mycobacterium Avium Complex Infection Radiology Reference Article Radiopaedia Org

Pulmonary Mycobacterium Avium Complex Infection Radiology Reference Article Radiopaedia Org

Lady Windermere Syndrome Youtube

Lady Windermere Syndrome Youtube

Http Smj Sma Org Sg 4902 4902cr6 Pdf

Http Smj Sma Org Sg 4902 4902cr6 Pdf

2

2

Non Tuberculous Mycobacterial Pulmonary Disease European Respiratory Society

Non Tuberculous Mycobacterial Pulmonary Disease European Respiratory Society

Mycobacteria By Matt Burns

Mycobacteria By Matt Burns

Le Micobatteriosi Catania 9 Novembre Ppt Video Online Download

Le Micobatteriosi Catania 9 Novembre Ppt Video Online Download

Think Like A Doctor A Cough Solved The New York Times

Think Like A Doctor A Cough Solved The New York Times

Lady Windermere Syndrome Treatment

Lady Windermere Syndrome Treatment

The Lady Windermere Syndrome Springerlink

The Lady Windermere Syndrome Springerlink

Slide Repository Module 2 Ppt Download

Slide Repository Module 2 Ppt Download

Scielo Brasil Pulmonary Infection Caused By Mycobacterium Kansasii Findings On Computed Tomography Of The Chest Pulmonary Infection Caused By Mycobacterium Kansasii Findings On Computed Tomography Of The Chest

Scielo Brasil Pulmonary Infection Caused By Mycobacterium Kansasii Findings On Computed Tomography Of The Chest Pulmonary Infection Caused By Mycobacterium Kansasii Findings On Computed Tomography Of The Chest

Ladies are assumed to be fastidious and as spitting is socially unacceptable they voluntarily suppress their cough and infected secretions.

Eur J Cardiothorac Surg 40 2011 pp. A lady as described in literature is a woman of good social standing and has a polite and refined disposition. The radiographic findings are bronchiectasis and small nodules predominately located within the middle lobe and lingula. These organisms enter hosts via the gastrointestinal tract or the lungs. Lady Windermere syndrome Ann Marie Kumfer MD Hawa Edriss MD AbstrAct Non-tuberculosis Mycobacterium spp NTM pulmonary disease is increasing in incidence and is a common cause of undiagnosed lung disease in older patients. Dr Surya Bhatt 801 Ostrum Street Bethlehem Pennsylvania USA 18015 Tel. Treatment with thoracoscopic lobectomysegmentectomy for right middle lobe and lingular bronchiectasis associated with non-tuberculous mycobacterial disease. Lady Windermeres Syndrome In 1992 two physicians published a medical article describing six older women with infection of their lungs by the germ Mycobacterium avium. The Lady Windermere syndrome.


Lady Windermere syndrome is a type of mycobacterial lung infection caused by Mycobacterium avium and M. A fastidious nature and a reticence to expectorate are believed to. Lady Windermere syndrome2 as the name is based on the aphorism ladies dont spit. The exact prevalence of habitual cough suppression among such patients and as a matter of fact among all patients with nonobstructive middle lobe syndrome. The Lady Windermere syndrome is a special form of pulmonary MAC seen primarily in middle-aged and elderly women. A lady as described in literature is a woman of good social standing and has a polite and refined disposition. Dr Surya Bhatt 801 Ostrum Street Bethlehem Pennsylvania USA 18015 Tel.

Posting Komentar untuk "Lady Windermere Syndrome Treatment"