Lompat ke konten Lompat ke sidebar Lompat ke footer

Pics Of Turner Syndrome

Turner Syndrome Wikipedia

Turner Syndrome Wikipedia

Pics of turner syndrome. The most common features of people that suffer from the condition are shortness nonfunctional ovaries. Cancer research laboratory hands of female scientist weighing chemicals - turner syndrome stock pictures royalty-free photos images. An infant with this type of Turner syndrome may exhibit a wide chest and neck distended hands and feet and sagging eyelids.

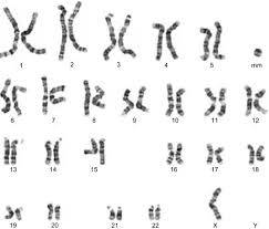
Henry Turner who first issued a report which described this syndrome. Turners Syndrome or gonadal dysgenesis is a condition that affects females in which one of the sex chromosomes X chromosome is completely missing or has abnormalities. Turners Syndrome Pictures Symptoms Causes Treatment Life Expectancy What is Turners Syndrome.

Girls with Turner syndrome are usually shorter than their peers. The concept of treatment and prevention of childhood diseases A possible diagnosis is inflammation of the pharynx tonsils or pharyngitis. Browse 6193 turner syndrome stock photos and images available or start a new search to explore more stock photos and images.

Turner syndrome refers to a genetic disorder that is only found in girls. Turner syndrome touches approximately 60000 females in the US. The Paris City Hall turns for the World AIDS Day on December 1 2010 in Paris France.

Mosaic Turner syndrome can be diagnosed with a routine ultrasound. However in women with Turners syndrome one of these chromosomes is absent or abnormal. Browse 1547 turner syndrome stock photos and images available or search for down syndrome or klinefelter syndrome to find more great stock photos and pictures.

Boy making pancake in kitchen - turner syndrome stock pictures royalty-free photos images. It affects about 1 in every 2500 girls. Browse 369 celebrities with turner syndrome stock photos and images available or start a new search to explore more stock photos and images.

Turner Syndrome Photos of Normal People and Their Life Stories. The good news is that if TS is diagnosed while a girl is still growing she can be treated with growth hormones to help her.

Turner Syndrome Concise Medical Knowledge

Turner Syndrome Concise Medical Knowledge

Turner Syndrome Pediatrics Msd Manual Professional Edition

Turner Syndrome Pediatrics Msd Manual Professional Edition

Turner Syndrome

Turner Syndrome

Living With Turner Syndrome Missing A X Chromosome Youtube

Living With Turner Syndrome Missing A X Chromosome Youtube

Patient 2 With Down Turner Syndrome Note Down Syndrome Facies Webbing Download Scientific Diagram

Patient 2 With Down Turner Syndrome Note Down Syndrome Facies Webbing Download Scientific Diagram

Turner Syndrome Stepwards

Turner Syndrome Stepwards

Turner Syndrome Medlineplus Genetics

Turner Syndrome Medlineplus Genetics

Turner Syndrome Turner Syndrome Medical Surgical Nursing Nursing School Survival

Turner Syndrome Turner Syndrome Medical Surgical Nursing Nursing School Survival

Turner S Syndrome Nejm

Turner S Syndrome Nejm

Turner Syndrome Mechanisms And Management Nature Reviews Endocrinology

Turner Syndrome Mechanisms And Management Nature Reviews Endocrinology

Turner Syndrome Pediatrics Msd Manual Professional Edition

Turner Syndrome Pediatrics Msd Manual Professional Edition

Turner Syndrome Medlineplus Genetics

Turner Syndrome Medlineplus Genetics

Clinical Features Of The Turner Syndrome Case Including A Download Scientific Diagram

Clinical Features Of The Turner Syndrome Case Including A Download Scientific Diagram

Turner Syndrome Signs And Symptoms

Turner Syndrome Signs And Symptoms

Turner Syndrome

Turner Syndrome

Welcome To Turner Syndrome Foundation Turner Syndrome Foundation

Welcome To Turner Syndrome Foundation Turner Syndrome Foundation

Turner S Syndrome Wtf

Turner S Syndrome Wtf

Giving A Voice To Turner Syndrome Turner Syndrome Foundation

Giving A Voice To Turner Syndrome Turner Syndrome Foundation

Turner S Syndrome Pediatrics Orthobullets

Turner S Syndrome Pediatrics Orthobullets

Medical Home Portal Turner Syndrome

Medical Home Portal Turner Syndrome

Turner Syndrome

Turner Syndrome

A Short Ring Finger Points To A Diagnosis Of Turner Syndrome Again The Lancet

A Short Ring Finger Points To A Diagnosis Of Turner Syndrome Again The Lancet

The Epidemiology Of Turner Syndrome Sciencedirect

The Epidemiology Of Turner Syndrome Sciencedirect

Https Encrypted Tbn0 Gstatic Com Images Q Tbn And9gcsgygfre6qg9vkeebdsy73zdakntns Rtjfeanleggf Ah0jrnm Usqp Cau

Https Encrypted Tbn0 Gstatic Com Images Q Tbn And9gcsgygfre6qg9vkeebdsy73zdakntns Rtjfeanleggf Ah0jrnm Usqp Cau

Turner Syndrome Hd Stock Images Shutterstock

Turner Syndrome Hd Stock Images Shutterstock

Turner Syndrome An Overview Sciencedirect Topics

Turner Syndrome An Overview Sciencedirect Topics

Turner Syndrome Reproductive Medbullets Step 1

Turner Syndrome Reproductive Medbullets Step 1

Turner Syndrome Dermnet Nz

Turner Syndrome Dermnet Nz

Turner Syndrome Mechanisms And Management Nature Reviews Endocrinology

Turner Syndrome Mechanisms And Management Nature Reviews Endocrinology

Adulthood With Turner Syndrome Turner Syndrome Foundation

Adulthood With Turner Syndrome Turner Syndrome Foundation

Recognition And Management Of Adults With Turner Syndrome From The Transition Of Adolescence Through The Senior Years Lin 2019 American Journal Of Medical Genetics Part A Wiley Online Library

Recognition And Management Of Adults With Turner Syndrome From The Transition Of Adolescence Through The Senior Years Lin 2019 American Journal Of Medical Genetics Part A Wiley Online Library

Can Females With Turner Syndrome Get Pregnant Medizzy Journal

Can Females With Turner Syndrome Get Pregnant Medizzy Journal

Difference Between Classic And Mosaic Turner Syndrome Difference Between

Difference Between Classic And Mosaic Turner Syndrome Difference Between

Monosomy X Turner Syndrome Diagnosis Treatment Ssm Health

Monosomy X Turner Syndrome Diagnosis Treatment Ssm Health

Conditions Turner Syndrome Chrom

Conditions Turner Syndrome Chrom

Lumen Genetics

Lumen Genetics

Turner Syndrome Toward Early Recognition And Improved Outcomes

Turner Syndrome Toward Early Recognition And Improved Outcomes

Turner Syndrome Osmosis

Turner Syndrome Osmosis

Turner S Syndrome The Lancet

Turner S Syndrome The Lancet

Succeeding With Turner Syndrome Unc Health Talk

Succeeding With Turner Syndrome Unc Health Talk

Cytogenetic And Genomic Analysis Of A Patient With Turner Syndrome And T 2 12 A Case Report Molecular Cytogenetics Full Text

Cytogenetic And Genomic Analysis Of A Patient With Turner Syndrome And T 2 12 A Case Report Molecular Cytogenetics Full Text

Turner Syndrome Toward Early Recognition And Improved Outcomes

Turner Syndrome Toward Early Recognition And Improved Outcomes

Turner Syndrome Ullrich Turner Syndrome Dermatology Advisor

Turner Syndrome Ullrich Turner Syndrome Dermatology Advisor

Turner Syndrome Osmosis

Turner Syndrome Osmosis

I Focus On What I Have Not What I Don T Have Because Of Turner Syndrome

I Focus On What I Have Not What I Don T Have Because Of Turner Syndrome

File Turner Syndrome Phenotype Jpg Wikidoc

File Turner Syndrome Phenotype Jpg Wikidoc

Long Term Outcomes In Patients With Turner Syndrome A 68 Year Follow Up Journal Of The American Heart Association

Long Term Outcomes In Patients With Turner Syndrome A 68 Year Follow Up Journal Of The American Heart Association

Turner Syndrome

Turner Syndrome

Https Encrypted Tbn0 Gstatic Com Images Q Tbn And9gcsmmngrhhqvgwgo 9bxrp2txp 7nuizmu9mtuaceltv0kb7bw1w Usqp Cau

Https Encrypted Tbn0 Gstatic Com Images Q Tbn And9gcsmmngrhhqvgwgo 9bxrp2txp 7nuizmu9mtuaceltv0kb7bw1w Usqp Cau

Caucasian patient looking out hospital window - turner syndrome stock pictures royalty-free photos images.

212 Celebrities With Turner Syndrome Premium High Res Photos. The good news is that if TS is diagnosed while a girl is still growing she can be treated with growth hormones to help her. Mosaic Turner syndrome can be diagnosed with a routine ultrasound. Girls with Turner syndrome are usually shorter than their peers. Turner syndrome TS is a genetic condition found in females only. Henry Turner who first issued a report which described this syndrome. The Paris City Hall turns for the World AIDS Day on December 1 2010 in Paris France. An infant with this type of Turner syndrome may exhibit a wide chest and neck distended hands and feet and sagging eyelids. Browse 212 celebrities with turner syndrome stock photos and images available or start a new search to explore more stock photos and images.


Turner syndrome refers to a genetic disorder that is only found in girls. The concept of treatment and prevention of childhood diseases A possible diagnosis is inflammation of the pharynx tonsils or pharyngitis. More than 80 iconic landmarks across 13 countries will join to. Caucasian patient looking out hospital window - turner syndrome stock pictures royalty-free photos images. Many with this condition are abnormally small at birth especially in length and may exhibit an underdeveloped lower jaw. Caucasian patient looking out hospital window - turner syndrome stock pictures royalty-free photos images. It affects about 1 in every 2500 girls.

Posting Komentar untuk "Pics Of Turner Syndrome"